ご予約はこちら
初診の方へ
初診の方へ
診療方針
診療方針
診療内容
診療内容
料金表
料金表
設備紹介
設備紹介
ドクター紹介
ドクター紹介
医院情報
医院情報
求人情報
求人情報
ブログ
ブログ
症例
症例
077-516-4660
First
初診の方へ
Policy
診療方針
Facilities
設備紹介
Doctor
ドクター紹介
Clinic
医院情報
Recruit
求人情報
Blog
ブログ
Case
症例
Menu
診療内容
こども歯科
マタニティ外来
おやこ歯科
こども健診
歯並び相談
おとな歯科
一般歯科
予防歯科
矯正歯科
審美歯科
インプラント
ホワイトニング
ホワイトスポット治療
静脈内鎮静法
Price
料金表
077-516-4660
お子さんを持つお母さまへ
ご予約はこちら
診療時間
月
火
水
木
金
土
日
(第1,3週)
9:00 - 12:30
−
●
●
−
●
●
●
14:30 - 18:00
●
●
●
−
●
○
14:00 - 17:30
−
休診日:月曜日午前・木曜・日曜(第2,4,5週)・祝日
Case
症例紹介
ホーム
症例紹介
ホワイトニング
すペ全て見
ホワイトスポット
ホワイトニング
矯正治療
2026.03.27
デュアルホワイトニング【ホーム+オフィス】
【治療名】 デュアルホワイトニング(ホーム+オフィス) 【年齢】 40代 【性別】 女性 【治療期間】 約8ヵ月経過(...
2026.02.27
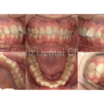
インビザライン矯正【成人 ホワイトニング】
【治療名】 インビザライン成人矯正 【年齢】 20代 【性別】 女性 【治療期間】 1年半 【治療金額】...