| 診療時間 | 月 | 火 | 水 | 木 | 金 | 土 | 日 |
|---|---|---|---|---|---|---|---|
| 9:00 - 12:30 | − | ● | ● | − | ● | ● | ● |
| 14:30 - 18:00 | ● | ● | ● | − | ● | ○ | − |
休診日:月曜日午前・木曜・日曜(第2,4,5週)・祝日
機能的矯正(プレオルソTYPEISハードを使用)
8歳(治療開始時)
男性
2年8ヵ月経過
機能的矯正装置代 38,500円(税込)
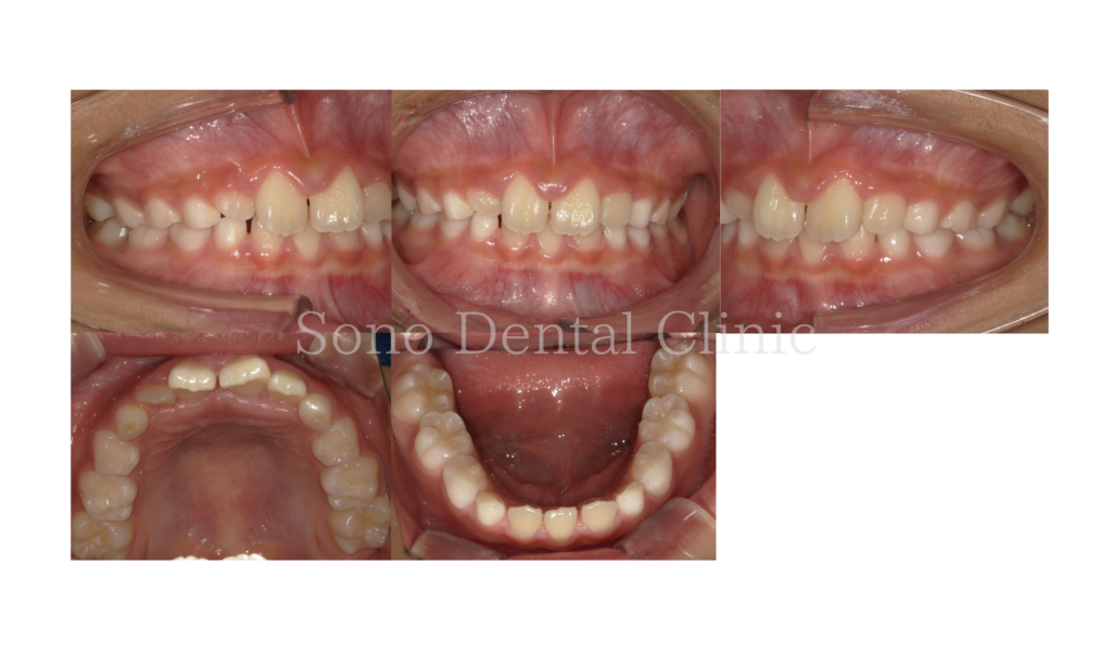
治療前の状態・主訴:
歯並びとお口ぽかんであることを主訴にご来院されました。
なお左下2番目の歯の先天欠如がありスリーインサイザーです。
初診時:矯正治療前

・治療詳細
機能的矯正装置を日中1時間程度と就寝時に装着することで口腔周囲筋と舌の機能向上にアプローチを行いました。その後、順調に夜間+日中1時間装着。時々つけられない時もありましたが、3か月から半年ごとに経過をみていきました。
機能的矯正装置とは?
・適切にお口の成長を促し、大人の歯が生えてくる土台を作るためのマウスピース型矯正装置
・着けるのは家の中でだけ!
・かみ合わせや筋肉のバランスを整えます
・様々な種類の装置があります

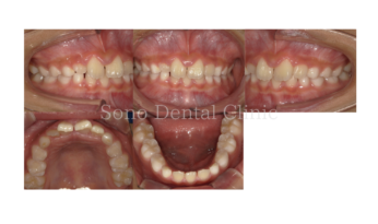
治療後:

・上の前歯2本の角度がよくなり、ブラッシングしやすい状態に。
・歯ぐきの腫れがなくなりました!
・下顎のスリーインサイザーのため正中は合わないですがきれいな歯列に整いました。

・自由診療での治療です。
・装着することで、成長期にお口周りの筋肉バランスを整え、 舌の位置改善を助けます。お口の機能を整えることで、かみ合わせの改善や永久歯が生えるスペースを作っていく「顎育て」の装置です。
・本格的な矯正装置ではなく、歯に直接作用する装置ではありません。
・装着時間が短かったり、時々しか装着しないと効果が得られません。
・夜間就寝時+日中2時間の装着が理想です。
・かみ合わせ改善後も後戻りする可能性があるため徐々に装着時間を減らしていきます。

