Case

デュアルホワイトニング【ホーム+オフィス】

【治療名】

デュアルホワイトニング(ホーム+オフィス)

【年齢】

40代

【性別】

女性

【治療期間】

約8ヵ月経過(全4回来院)

【治療金額】

デュアルホワイトニング 33,000円(税込)

【治療内容】

治療前の状態・主訴

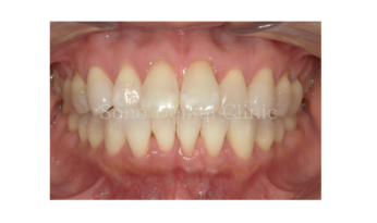
前歯のホワイトスポットを気にされて、「歯を白くしたい」とのご希望で来院されました。

初診時には、歯全体に黄ばみがみられ、特に前歯の色味が暗くなっている状態でした。

むし歯や歯周病の治療が不要であることを確認し、ホワイトニングの施術を開始しました。

初診時:ホワイトニング前

・治療詳細

まず、初回はホームホワイトニング用のマウスピース作製のために歯型をとりました。

また、現在の歯の色を確認するため写真撮影を行いホワイトニングについて詳しいご説明をしました。

2回目は5分×2回の光照射を行うオフィスホワイトニングを実施しました。

そしてご自宅でのホワイトニングをスタート。初回施術直後から色の変化が見られ、1ヶ月後には2段階以上明るい色調に変化しました。その後の3ヵ月ごとのメンテナンスで白さをキープしたまま、さらに透明感のある仕上がりを確認できました。

ホワイトニング後:

【治療に伴うリスク】

・自由診療のため、保険適用外です。

・一時的にしみるような痛みが出る可能性があります。

・効果は個人により異なります。

・歯の状態によってホワイトニング適応外の場合もあります。

・ホワイトニング直後のご飲食はお控えください。

・色の濃い飲食物は極力避けてください。

・歯の色の後戻りが起こり得ます。

治療前

治療後