Case

インビザライン矯正 【ファースト 出っ歯改善】

【治療名】

インビザラインファースト(I期矯正治療)

【年齢】

8歳 (治療スタート時)

【性別】

女性

【治療期間】

1年半

【治療金額】

矯正検査代 33,000円(税込)

インビザライン矯正ファースト 418,000円(税込)

保定装置代 38,500円(税込)

調整料 5,500円(税込) 月々のご来院時にかかる費用です

【治療内容】

治療前の状態・主訴

歯並びを気にしてお母さまと来院されました。

矯正治療についてご説明し、インビザラインにて治療をスタート。

お兄様も同じインビザラインファーストで治療されていたこともあり、

お母さまもご本人も抵抗なく矯正治療を受け入れることができたそうです。

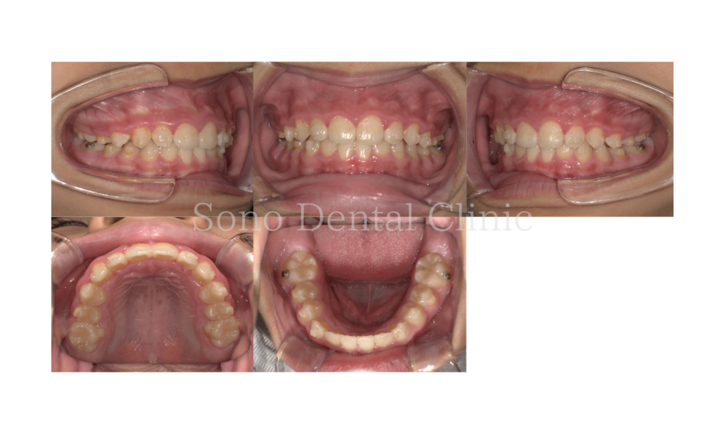
初診時:矯正治療前

・治療詳細

はじめの治療計画ではマウスピースが58枚。

3日ずつ交換していただきます。

治療前:

慢性的な鼻炎があり、口呼吸から前歯がやや後戻り傾向にあり

永久歯への生えかわり待ちの間は、プレオルソを使用して保定を行いました。

矯正期間中、3回追加でマウスピースを作製しました。

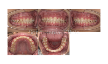
治療後:

スペース不足による前歯のガタガタも改善し、犬歯のスペースも確保できました。

現在、後戻りを防ぐため保定用のマウスピースを夜間に装着し、保定中。下顎の後退を防ぐためにゴムかけも継続しています。I期矯正は終了していますが、あとは12歳臼歯がうまく生えてこられるかがポイントです。

【患者様の声】

治療前:

あんな歯型を入れたら、めちゃくちゃ痛いんじゃないの?大丈夫かなと不安だった。

でも写真を撮った時に歯が出っ張っていたのが嫌だったから頑張ってみようと思った。

お兄ちゃんが先にインビザラインでの矯正をやっていて頑張っているのを見ていたから自分もやってみよう!と思えた。

治療中:

少しずつ出っ歯じゃなくなってきて、きれいになっていくのが嬉しかった。

出っ歯に戻るのが嫌でアライナーを入れる時間は守れていたけど、いつも歯磨きするのが嫌でサボってしまうこともあった。サボったらアタッチメントのところに汚れがたまってお母さんに怒られることも。歯磨きが少し難しかった。

治療後:

笑顔できれいに歯を見せて写真が撮れるのが嬉しい!

歯並びがきれいだねーと言われるのが嬉しい!

【治療に伴うリスク】

・自由診療での治療です。

・歯の移動により、歯肉の退縮や三角空隙が生じる可能性があります。

 また、歯根が短くなる、歯の神経が失活するといったリスクがあります。

・矯正治療で動かした歯は治療途中や治療終了後においても元の状態に戻ろうとする傾向にあります。後戻りを防ぐためには歯を動かした期間と同等、またはそれ以上の期間において保定装置の装着が必要です。

・装着時間やチューイー・顎間ゴムの使用などの指示が守れない場合は治療期間の延長や希望通りの効果が得られないことがあります。

・歯の清掃状態によっては、むし歯などの疾患を引き起こす可能性があります。

・歯列、後戻りの状況によってはI期矯正治療終了後にII期矯正治療へ移行する場合があります。

治療前

治療後